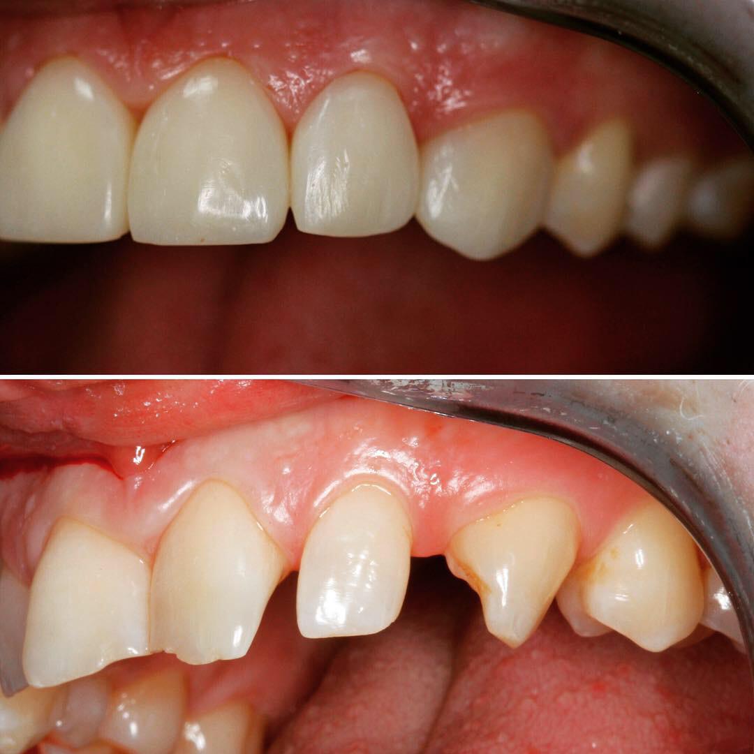
Звернутися до стоматолога багатьох людей мотивує не лише необхідність лікування карієсу, гінгівіту або інших захворювань, а бажання покращити зовнішній вигляд зубів. Тріщини, занадто великі проміжки між зубами, формування темних плям - все це заважає відчувати впевненість в собі, негативно позначається на особистому житті і навіть перешкоджає кар'єрному зростанню. На щастя, існують технології реконструкції, які допомагають зробити зуби рівними, а посмішку білосніжною. Художня реставрація зубів здатна творити дива, у чому ви зможете переконатися, звернувшись до клініки доктора Глушко. Ми допомагаємо пацієнтам виправити різноманітні дефекти, застосовуючи новітні методики, при цьому встановлюємо розумні ціни на послуги досвідчених стоматологів.

Через несвоєчасне лікування, незбалансоване харчування, шкідливі звички і різні травми зуби пошкоджуються та темніють. Відновити нормальну структуру та зовнішній вигляд допомагає реставрація зубів - сукупність методик, спрямованих на поліпшення стану молярів за допомогою штучних матеріалів. Сучасна косметична стоматологія дає можливість впоратися із різноманітними проблемами:
Досягти відмінного результату вдається лише в тому випадку, якщо художню реставрацію виконує кваліфікований й талановитий лікар-стоматолог. Саме такі фахівці працюють в нашій клініці, тому вам залишається записатися на візит за телефоном або онлайн.
Особливістю художньої реконструкції є індивідуальний підбір методики з урахуванням виявлених дефектів та стану ротової порожнини пацієнта. Залежно від способу відновлення розрізняють дві групи:

Реставрація зуба або декількох молярів проводиться в певній послідовності з урахуванням специфіки обраної методики відновлення. Основні етапи:
Різноманіття методик дозволяє вибрати той варіант відновлення, який підходить пацієнту не лише за прогнозованим результатом, але й за ціною. Отримати точну інформацію про вартість реставрації в нашій клініці можна після огляду стоматолога. Ключовими факторами, що визначають розмір фінансових витрат, стануть:
Автор: Назар Глушко


Контакти
Україна, м. Львів