Зміст статті:
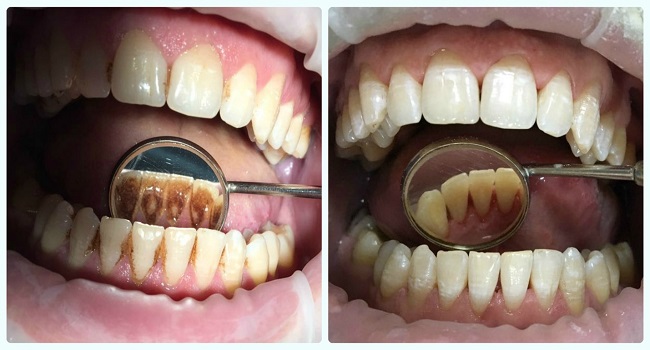
Неприємним, але дуже розповсюдженим явищем, є формування зубного каменю, який впливає на зовнішній вигляд та стан зубів. Якщо своєчасно його не видалити, є ймовірність розповсюдження карієсу та інших проблем, включаючи запалення ясен. Запропонувати сучасне лікування можуть спеціалісти стоматології Глушко у Львові – наша клініка використовує найсучасніші методики зняття мінералізованого нальоту та встановлює демократичні ціни. Зубний камінь варто видаляти якнайшвидше, і наші стоматологи це роблять швидко, безболісно та із урахуванням особливостей стану зубів. В окремих випадках, наприклад, при скупченні молярів, лікар може запропонувати ортодонтичну терапію задля профілактики появи аналогічної проблеми в майбутньому.

Підчас їжі в ротову порожнину потравляють різноманітні бактерії, які затримуються на зовнішній поверхні зубів, і у разі недостатньо якісного чищення формують наліт разом із відлущеними клітинами епітелію. Найчастіше проблема виникає між проміжками зубів та поряд з яснами, де зуби самі не здатні очищатися. Через певний час відбувається затвердіння, при цьому патогенні мікроорганізми продовжують уражати тканини та провокувати карієс. Підчас мінералізації за рахунок великої кількості заліза та кальцію наліт стає темним, що негативно відображається на посмішці та викликає психологічний дискомфорт.
На остаточне формування каменю потрібно від 4 місяців до півроку, отже є час на візит в стоматологію та терапію. Якщо не позбавитися від проблеми, почнуть темніти розташовані поруч ділянки. Просто почистити ретельно зуби недостатньо для видалення зубного каменю - потрібне спеціальне лікування та дотримання рекомендацій лікаря щодо дотримання гігієни ротової порожнини. Значне поширення патологічного процесу може призвести до глибокого ураження та навіть випадіння зубів, тому при перших ознаках варто записатися на консультацію.
Кристалізований наліт може утворитися у будь-якому віці навіть при правильному догляді за ротовою порожниною, тому варто знати його прояви, щоб без зволікання прийняти міри для його усунення. Спочатку наліт майже безбарвний, тому його важко, але можливо помітити. Для цього потрібно за допомогою дзеркала оглянути всі зуби із внутрішньої сторони. Саме там зазвичай накопичуються епітеліальні клітини та бактерії. Приводом для хвилювання є наявність жовтих або коричневих ділянок. Зубний камінь може мати різну локалізацію, колір та міцність. Супутнім симптомами є:
Підтвердити наявність зубного каменю здатен лише стоматолог, який огляне ротову порожнину, перевірить твердість нальоту та запропонує найбільш результативний спосіб позбавлення від проблеми.

Наразі проблема формування мінералізованого нальоту є вкрай актуальною, причому все частіше с такою проблемою звертаються підлітки. Втім, у деяких людей за все життя не виникає необхідності зняття каменю. Чому так відбувається? Вчені виділяють декілька факторів, що здатні спровокувати патологічний процес:

Головне, що потрібно знати про зняття зубного каменю:
Коли утворився зубний камінь, лікування у стоматолога – єдине, що гарантовано допоможе відновити гарну посмішку та позбутися неприємних проявів патології. Чим скоріше людина відвідає лікаря, тем швидшим, простішим та дешевшим виявиться відновлення краси та здоров’я зубів.
Уникнути або мінімізувати ризик мінералізації нальоту та підтримувати здоров’я й красу зубів вдасться за допомогою наступних рекомендацій:
Іще раз наголошуємо - не варто відкладати зняття зубного каменю, адже поступово він почне руйнувати розташовані поруч зуби та може спровокувати гінгівіт, пародонтит та інші серйозні порушення. В нашій клініці ви отримаєте професійну стоматологічну допомогу та зможете відновити естетику зубів - дзвоніть та записуйтеся на прийом
Автор: Назар Глушко


Контакти
Україна, м. Львів